Seniors and Oral Health Risk Factors
We are all susceptible to oral problems at any age for different reasons. Seniors, however, are at higher risk and here are a few reasons why. Time Cavities, gum disease, enamel erosion and other oral concerns are certainly not limited to seniors, but aging can...
Infant Oral Care Basics
When Should I Start Brushing My Child’s Teeth? You can start cleaning your baby’s gums just a few days after birth. Gently wipe along the gum line with a clean washcloth or gauze, or use a toothbrush made specifically for infants. This will help remove bacteria from...
Denture Basics: Do’s and Dont’s
While relatively easy to maintain, dentures require proper care for comfort and long-term wear. Here are some basic guidelines for denture care. DO: Recognize that it may take a few weeks to get used to your dentures. During this short period, your dentist may have...
Your Baby’s Oral Health
It is never too early to start taking care of your baby's teeth. Good oral health habits lead to a lifetime of healthy teeth and smiles. Sedki Dentistry, Commerce twp, MI has the answers to some common questions people have about babies' oral health. Can Babies Get...
Tips for Brushing Children’s Teeth
Children's oral care is essential from the beginning. The health of your child’s mouth starts even before that first tooth erupts. Sedki Dentistry in Commerce, MI is dedicated to taking care of your smile and dental health for all ages. Here are a few tips for taking...
Common Oral Health Concerns In Older Adults
There are a number of dental health issues affecting older adults. Naturally, as people age, so does the mouth. Here are a few common oral health concerns that Dr. Sedki and his dental staff want you to know about. Being aware can help you become proactive in keeping...
Toothbrush Care Tips from Your Local Commerce, MI Dentist
Keeping your teeth healthy includes brushing twice a day to reduce plaque and bacteria, but if your toothbrush is old or worn it’s likely not getting the job done. It’s also important to keep your toothbrush clean of debris and bacteria. Sedki Dentistry in Commerce,...
Tips to Brushing Your Teeth Properly
A healthy smile starts with clean teeth. For best results, the American Dental Association (ADA) recommends that you brush your teeth twice a day. Choosing the right toothbrush is important—a soft bristle brush is best. It’s also a good idea to replace your toothbrush...
5 Dental Symptoms You Should Never Ignore
We all know it’s important to schedule routine six-month checkups, but some dental ailments warrant immediate attention. Sedki Dentistry in Commerce, MI is a family dental clinic that offers services for all dental health concerns. Here are five symptoms you should...
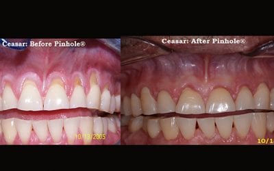
Signs of Gum Recession and What to Do About It
Our mouth depends on healthy gum tissue to protect our teeth and jaw. Unfortunately, we can wear down and even destroy gum tissue eventually exposing the softer and more sensitive roots. When we lose gum tissue around a tooth it’s called gum recession or a receding...
BRUXISM: DO YOU GRIND OR CLENCH YOUR TEETH?
Grinding or clenching teeth, also known as bruxism, is a common problem. And although it can cause serious damage, many people habitually grind or clench their teeth and don’t even realize it! That’s because bruxism often happens at night when we’re sound asleep....
The Benefits of Cosmetic Dentistry
Smiling and laughing is always a good thing. They are reactions that make you feel good, improving your mood and health. However, if you don’t like your smile as a result of some cosmetic issues, you may be missing out on some health and mood benefits! Sedki...
REFERRAL FORMS
Services: Pinhole Surgery, Braces, Cosmetic Dentist, Pinhole Technique, Dental Implants, Emergency Dentist, Dental Braces, Dental Sedation, Pinhole Gum Rejuvenation, Teeth Whitening Services, Family Dentist, Dentures, Gum Treatment, Dental Implants, Invisible Braces, Crowns, Orthodontist, Dental Bridges, Teeth Whitening, Childrens Dentist, Gum Recession
Service Areas: Walled Lake MI, Wixom MI, Commerce MI, Milford MI, Novi MI, Commerce Township MI, Waterford MI, West Bloomfield MI, Farmington Hills MI, Farmington MI, South Lyon MI, Northville MI, Commerce Charter Township MI, Lyon Twp MI, White Lake MI, Pontiac MI, Royal Oak MI, Warren MI, Westland MI, Wayne County MI, Oakland County MI, Macomb County MI, Southfield MI, Livonia MI, Dearborn MI, Keego Harbor MI, Farmington MI, Hamtramck MI, Lyon Charter Township, Detroit MI
Dental Implants MI | Dental Braces MI | Pinhole Surgical Technique MI
All Rights Reserved © WFM Web Design | Disclaimer | Privacy Notice











